Você não extrai dentes porque quer.
Você extrai porque foi treinado pra isso.
O que separa esses dois profissionais não é talento.
É um protocolo.
“Se isso não for prova suficiente, nada será”
Caso 1
Diagnóstico inicial → extração
Resultado → dente preservado com função
Caso 2
Dor persistente sem solução
Resultado → resolução após intervenção correta
Caso 3
Indicação para remoção
Resultado → manutenção com longevidade
Casos de tratamento
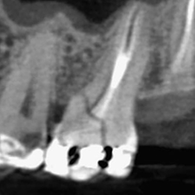
Imagem tomográfica do dente, evidenciando a fratura na mesio-palatina
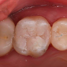
Exposição da Fratura
Vedamento Marginal, selando a fratura com Cimento Super-Bond
Restauração com Resina Provisória Pos Selamento
Utilizamos materiais da Shofu, reconhecida mundialmente pela qualidade e inovação em odontologia restauradora. Em nossos protocolos clínicos trabalhamos com a Beautifil Flow Plus, associada ao BeautiBond Extreme, combinação que proporciona excelente adesão, estética e previsibilidade clínica.
Esses materiais são frequentemente utilizados por nós como complemento em procedimentos como elevação de margem (DME) e também em situações em que é necessário selar trincas dentárias, contribuindo para o controle do caso e para a preservação da estrutura dental.
Trabalhamos também com materiais da Sun Medical, empresa japonesa reconhecida mundialmente pela excelência em sistemas adesivos. Entre eles está o Super-Bond C&B, um cimento resinoso químico utilizado há mais de 40 anos no Japão e amplamente estudado na literatura científica.
Em nossa prática clínica, utilizamos o Super-Bond principalmente em situações que exigem adesão extremamente confiável, como cimentação de pinos, coroas e manejo de dentes com trincas, contribuindo para aumentar a previsibilidade e a longevidade dos tratamentos.
Você não precisa esperar meses
Você NÃO precisa:
Este serão os 3 niveis dentro do nosso curso
Cada dente salvo não é só um sucesso clínico. É um procedimento de maior valor.
Seu paciente volta meses depois, com o dente preservado e diz:
“Você foi o único que conseguiu resolver.”
A partir daí, as indicações começam a aumentar, casos mais complexos passam a chegar até você e, naturalmente, seu nome começa a circular com mais força no mercado.
O QUE VOCÊ DOMINA
STACK
de R$10.000 para:
Pagamento único
Se você não enxergar aplicação prática ou não se sentir mais seguro, devolvemos 100% do seu investimento. E mais: se nesse período você não identificar pelo menos uma oportunidade clínica clara, você simplesmente não paga nada.
Encontros online
Confira a programação
Dia 02/05 - manhã:
Artur e Aloísio
Dia 02/05 - tarde:
Artur e Aloísio
Dia 16/05 - manhã:
Filipe
Dia 30/05 - manhã:
Artur e Aloísio
Você não precisa esperar meses
Por isso, quem entra agora tem a oportunidade de se posicionar como referência local.
Mas existe um ponto importante: depois que esse conhecimento se espalhar, ele deixa de ser diferencial e passa a ser comum.
Veja o que as pessoas estão falando












Isso não é pra qualquer dentista.
É pra quem:
Não aceita diagnóstico raso
Não quer ser comum
Quer dominar casos difíceis
Você tem duas opções:
Continuar extraindo… ou começar a salvar.
Uma mantém você comum. A outra te posiciona como referência.
O Super-Bond não é apenas um cimento resinoso; é um divisor de águas na odontologia adesiva que, após quatro décadas de sucesso clínico no Japão, finalmente chegou ao Brasil. Com uma tecnologia baseada no monômero 4-META e no iniciador TBB, ele oferece uma polimerização química impecável mesmo em condições de umidade, penetrando profundamente em microespaços onde outros sistemas falham.
Utilizamos materiais da Shofu, reconhecida mundialmente pela qualidade e inovação em odontologia restauradora. Em nossos protocolos clínicos trabalhamos com a Beautifil Flow Plus, associada ao BeautiBond Extreme, combinação que proporciona excelente adesão, estética e previsibilidade clínica.
Esses materiais são frequentemente utilizados por nós como complemento em procedimentos como elevação de margem (DME) e também em situações em que é necessário selar trincas dentárias, contribuindo para o controle do caso e para a preservação da estrutura dental
Endodontista, Mestre e Criador das Limas Vono, com 12 anos de experiência clínica e acadêmica, dediquei minha carreira a simplificar e desmistificar a endodontia. Como professor de graduação e pós-graduação, minha missão é transformar o aprendizado, tornando-o mais acessível e eficiente para os profissionais da área.
Além do ensino, atuo diariamente no atendimento clínico, o que me permite compreender de perto os desafios da prática endodôntica. Essa vivência me motiva a buscar constantemente soluções que tornem os tratamentos mais previsíveis, seguros e rápidos, beneficiando tanto os profissionais quanto os pacientes.
Cirurgião-dentista e professor formado pela PUC Minas, com especialização e mestrado nas áreas de Prótese e Dentística. Atua clinicamente com foco em reabilitação estética, além de exercer atividade docente na graduação da Uniarnaldo e em cursos de especialização.
Nos últimos anos, direcionou seu foco para o diagnóstico e tratamento de trincas e fraturas dentárias. Após imersão no Japão, passou a estudar materiais e protocolos específicos, desenvolvendo, em conjunto com o Dr. Artur Napoleão, um protocolo clínico estruturado para diagnóstico e selamento dessas alterações. É autor de artigos científicos na área e coautor de um livro sobre o tema.